OD GNOJENJA DO OTKAZIVANJA ORGANA! Ovo su glavni simptomi UPALE PLUĆA! Odnela i slavnu OSKAROVKU

Objavljeno:

Virusna upala pluća obično počinje postepeno, sa simptomima koji podsećaju na grip

Upala pluća je ozbiljna infekcija koja zahvata plućno tkivo i izaziva njegovo zapaljenje. U alveolama, sitnim mehurićima gde se razmenjuje kiseonik, nakupljaju se tečnost i gnoj, zbog čega disanje postaje otežano, a organizmu nedostaje kiseonika. Najčešći uzročnici su bakterije i virusi, a ređe gljivice.

Bakterijska i virusna upala ne počinju isto

Kod bakterijske pneumonije simptomi su nagli i izraženi. Najčešće se javljaju:

visoka temperatura

jak kašalj sa zelenkastim ili krvavim ispljuvkom

bol u grudima

ubrzano disanje

izražena slabost i malaksalost

Virusna upala pluća obično počinje postepeno, sa simptomima koji podsećaju na grip:

suv, nadražajan kašalj

glavobolja

bolovi u mišićima

temperatura i osećaj iscrpljenosti

Podela bolesti

Bolest može zahvatiti jedno ili oba plućna krila. Kada su zahvaćena oba, govori se o obostranoj, odnosno “duploj” upali pluća, koja je obično teža. Kod starijih i hroničnih bolesnika simptomi su ponekad atipični, te se umesto temperature javljaju konfuzija, gubitak apetita i nagla slabost, što može da zavara i odloži lečenje.

Upala pluća se deli i prema mestu nastanka. Najčešća je vanbolnička (komunitarna), koja se javlja kod ljudi koji nisu hospitalizovani, a uzrokuju je bakterije poput Streptococcus pneumoniae, kao i virusi gripe ili koronavirusi. Bolnička pneumonija nastaje kod pacijenata koji su već na lečenju zbog druge bolesti, pa su izloženi otpornijim bakterijama poput MRSA, što lečenje čini složenijim. Poseban oblik je aspiraciona pneumonija, kada hrana, tečnost ili povraćeni sadržaj dospeju u pluća i izazovu infekciju.

Ko je najugroženiji?

Iako se može javiti u bilo kom uzrastu, najugroženiji su stariji od 65 godina, mala deca, pušači i osobe oslabljenog imuniteta, poput onih koji se leče od raka, imaju HIV, dijabetes ili hronične bolesti srca i pluća. Rizik je veći i kod osoba koje dugo leže ili koriste aparate za disanje u jedinicama intenzivne nege.

Lečenje zavisi od uzročnika

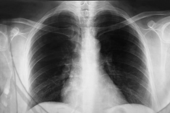
Dijagnoza se postavlja na osnovu kliničke slike, pregleda pluća i rendgen snimka, a ponekad su potrebne laboratorijske i mikrobiološke analize kako bi se utvrdio tačan uzročnik. Lečenje zavisi od vrste infekcije – bakterijska pneumonija zahteva antibiotike, dok se virusna obično leči simptomatski, uz odmor, tečnost i lekove za snižavanje temperature. Kod težih oblika neophodna je hospitalizacija i terapija kiseonikom.

Moguće komplikacije

U većini slučajeva uz pravovremeno lečenje dolazi do potpunog oporavka, ali kod starijih i oslabljenih pacijenata upala pluća može da izazove ozbiljne komplikacije, kao što su respiratorna insuficijencija, sepsa, pa i smrt. Zato je prevencija ključna, jer vakcinacija protiv gripa i pneumokoka, prestanak pušenja i lečenje hroničnih bolesti značajno smanjuju rizik od infekcije.

Upala pluća ostaje jedna od najčešćih i najsmrtonosnijih zaraznih bolesti na svetu, podsećajući da čak i u vreme napredne medicine, briga o sopstvenom zdravlju i pravovremena reakcija mogu da sačuvaju život.

ESPRESO

Povezano

Najnovije